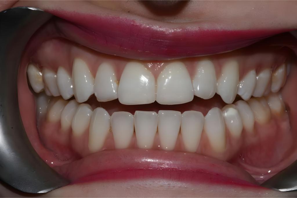
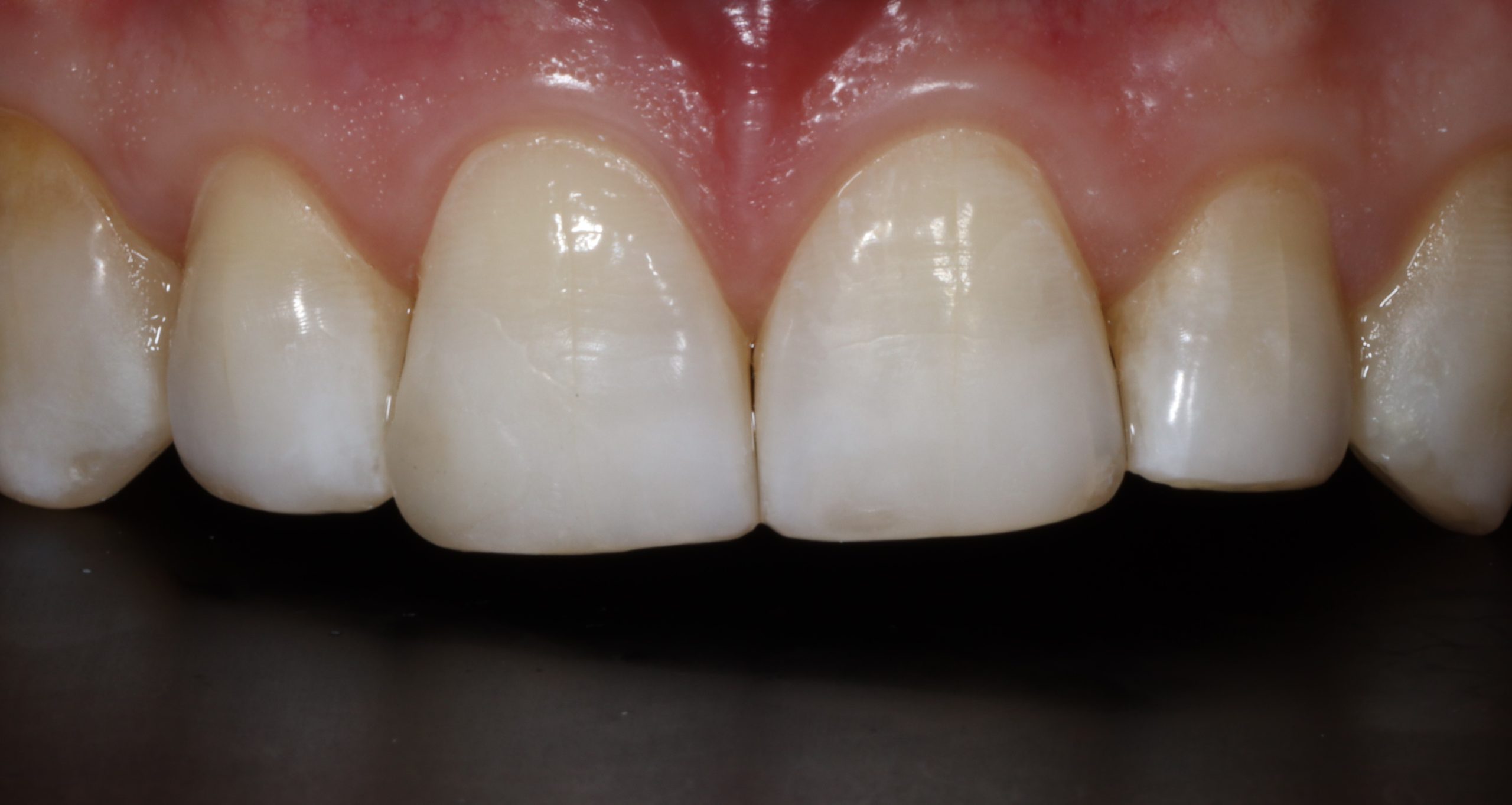
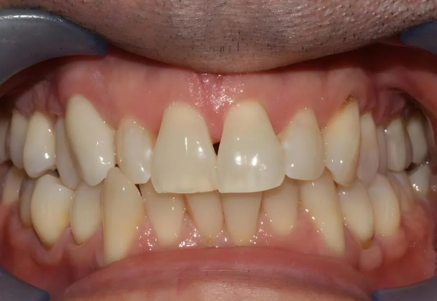
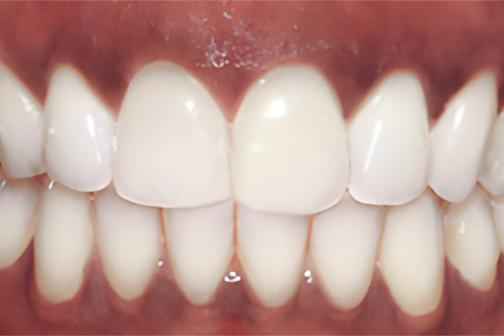
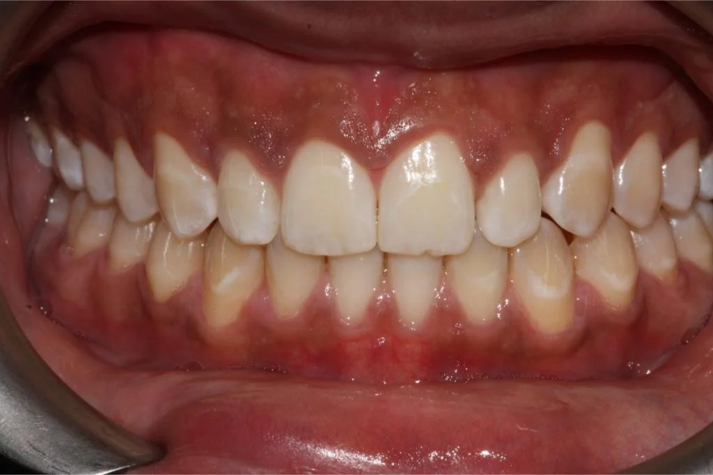
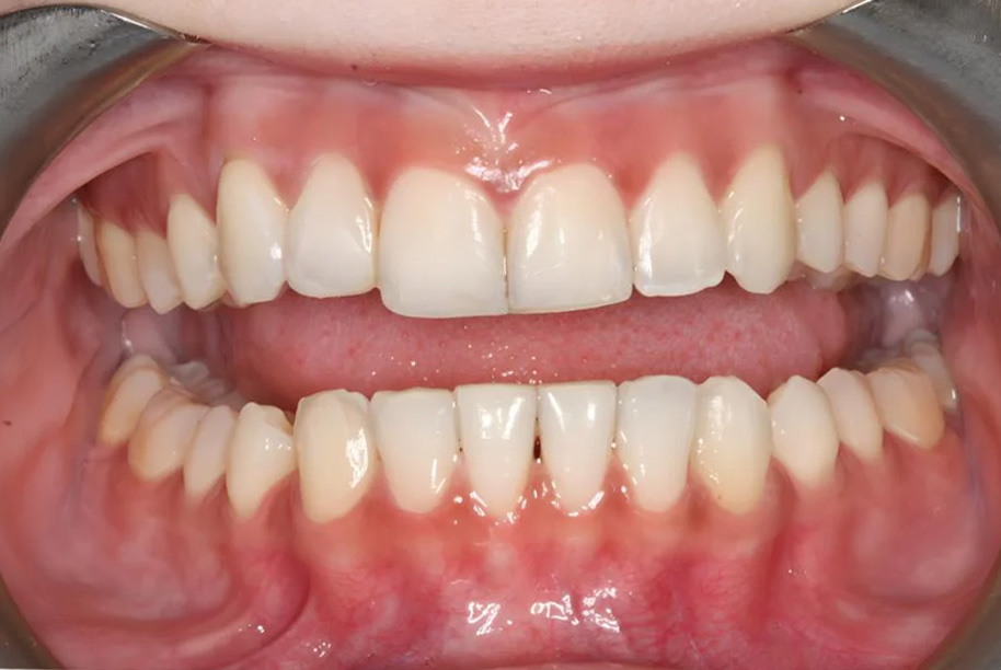
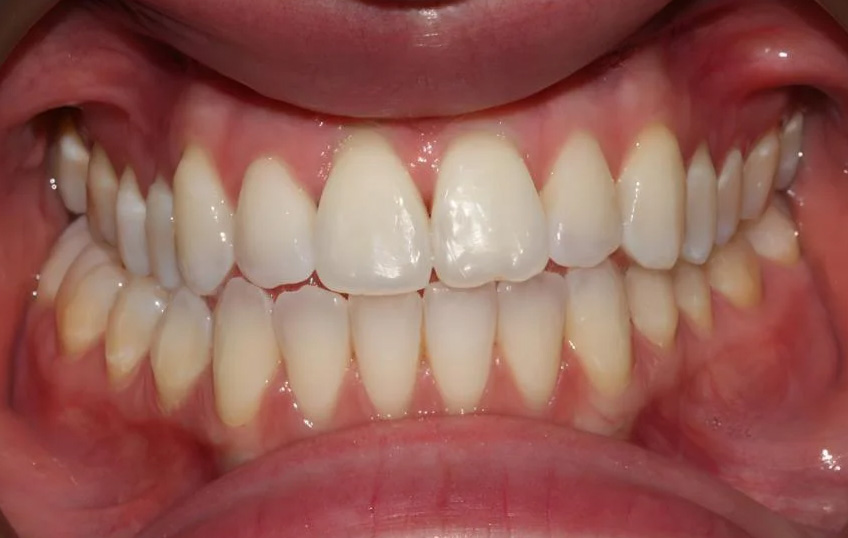
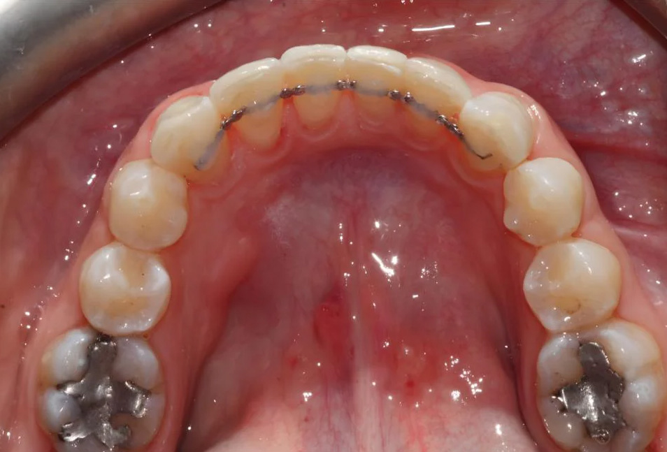
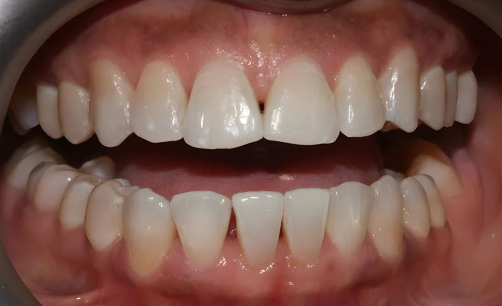
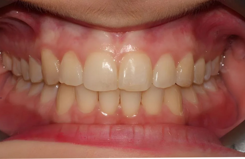
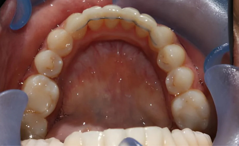
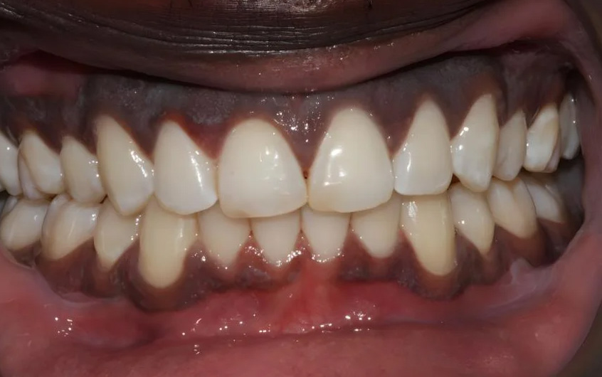
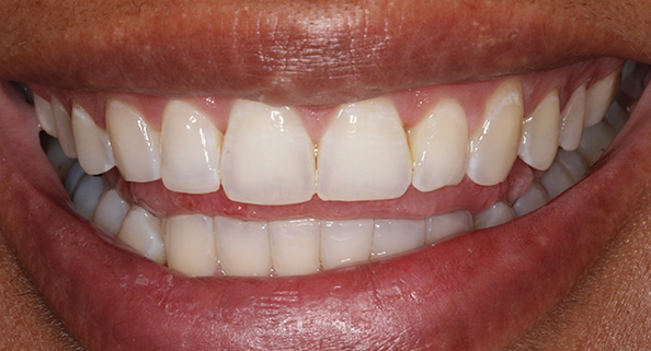
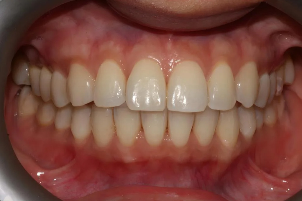
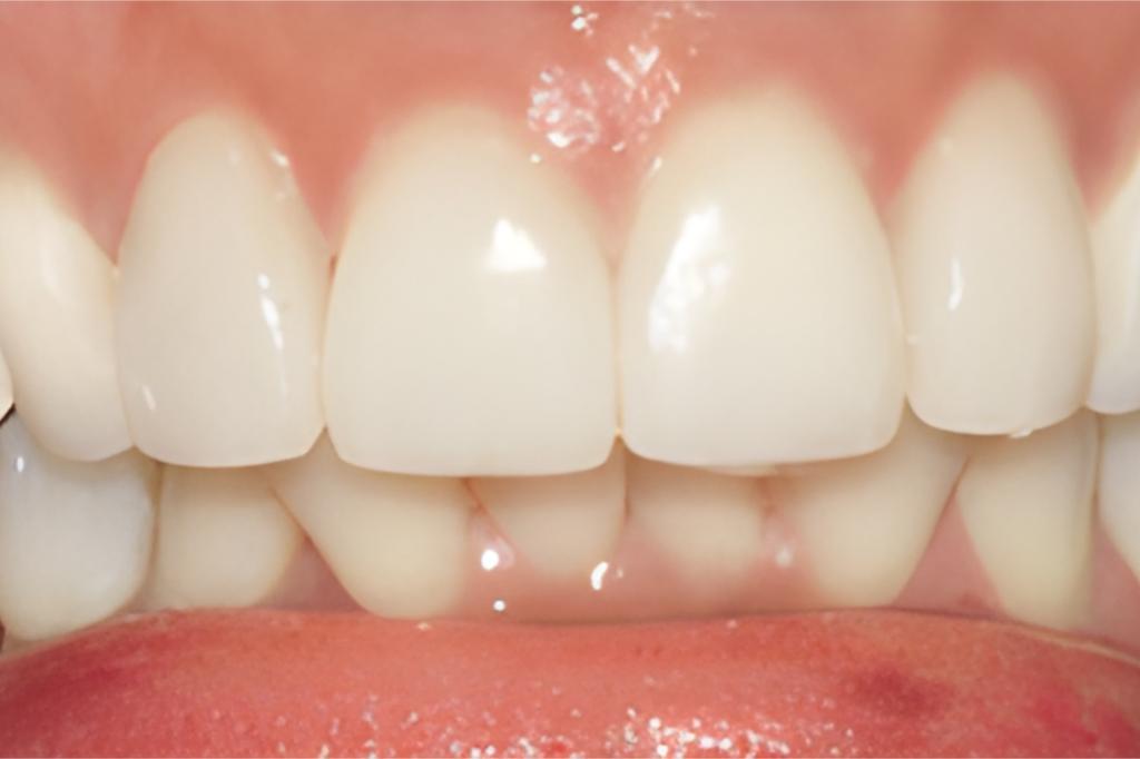
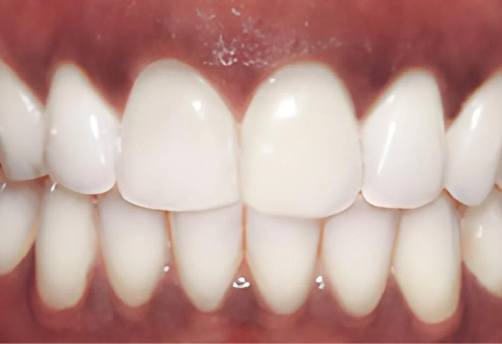
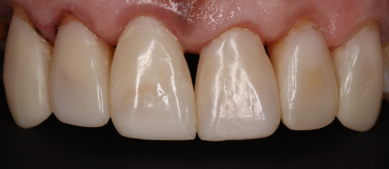
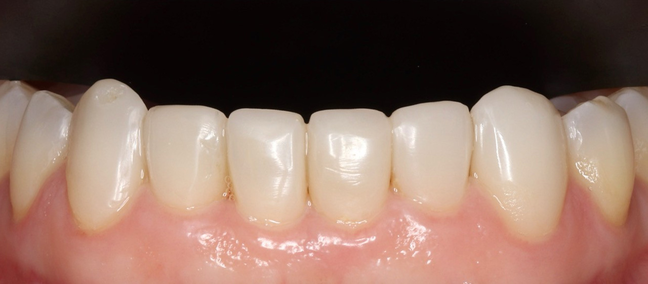
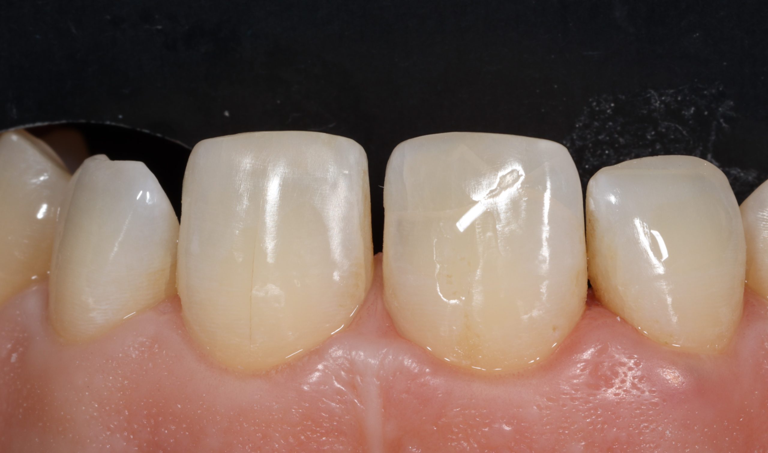
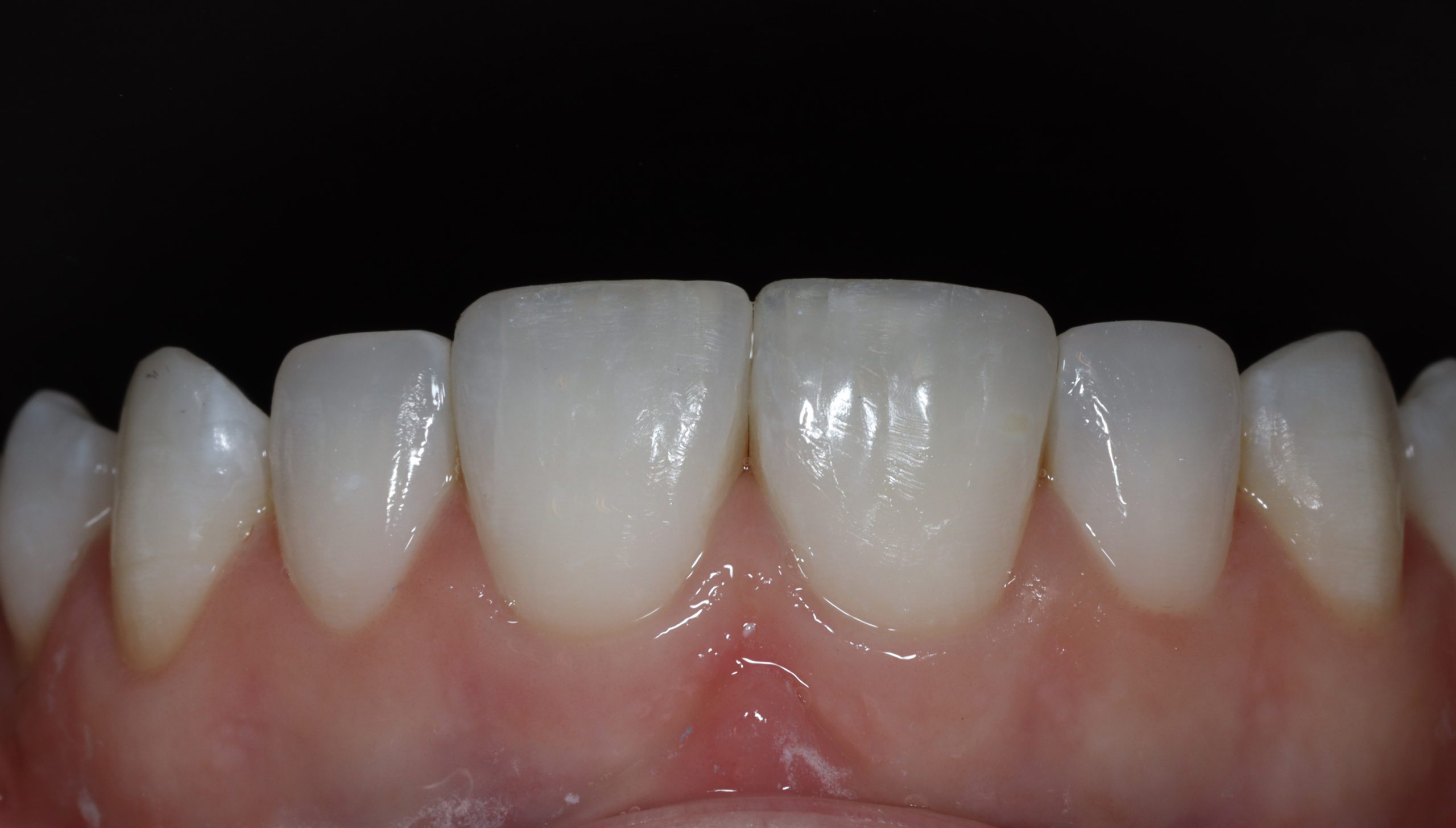
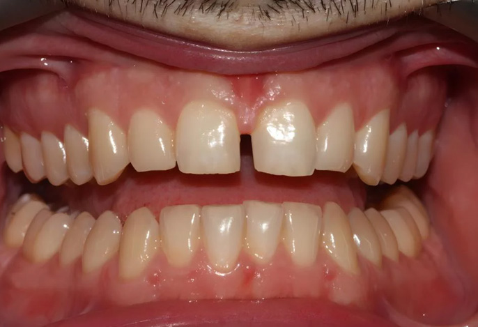
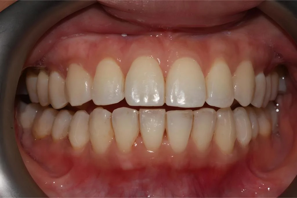
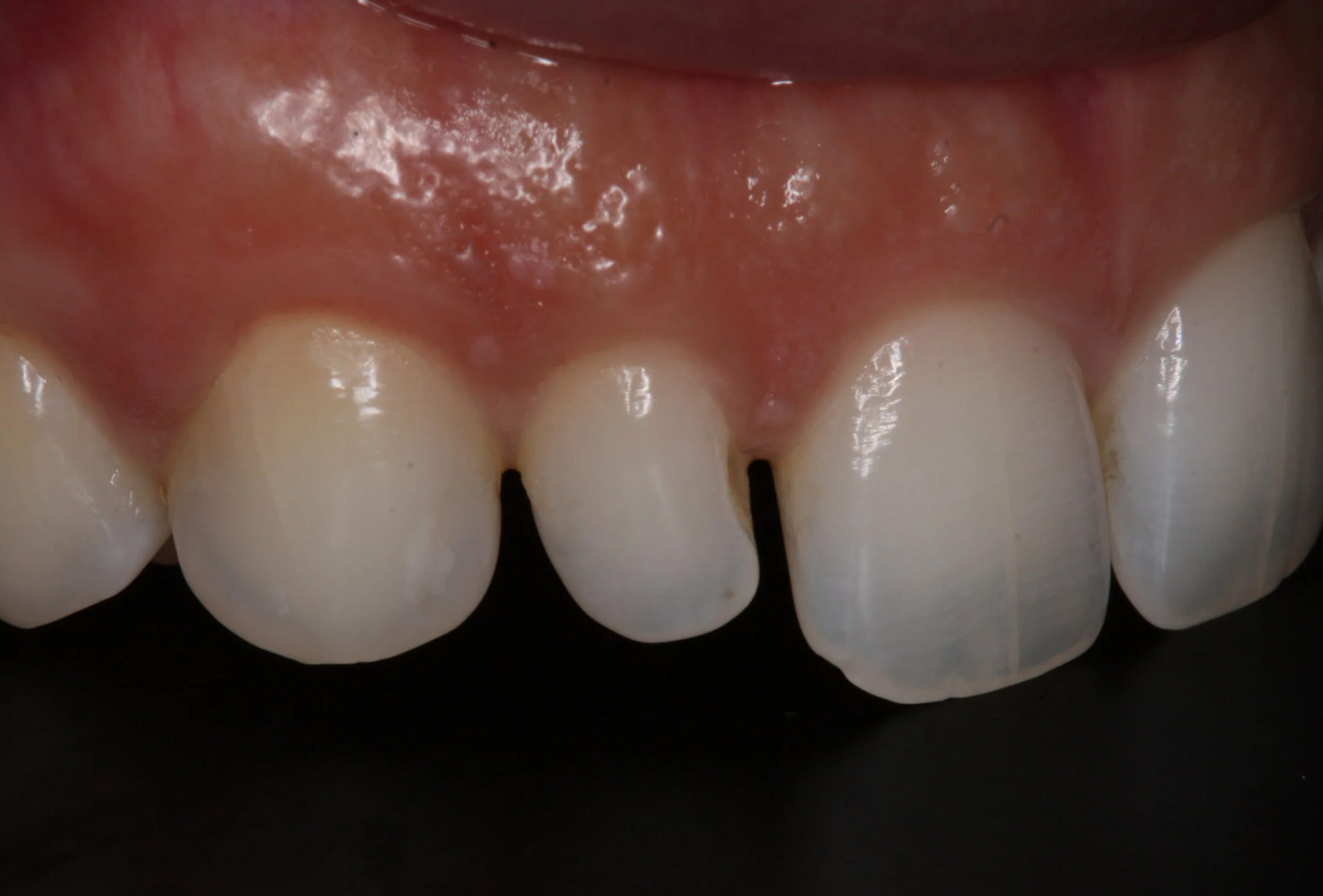
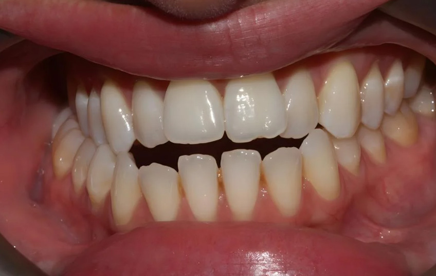
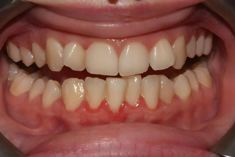
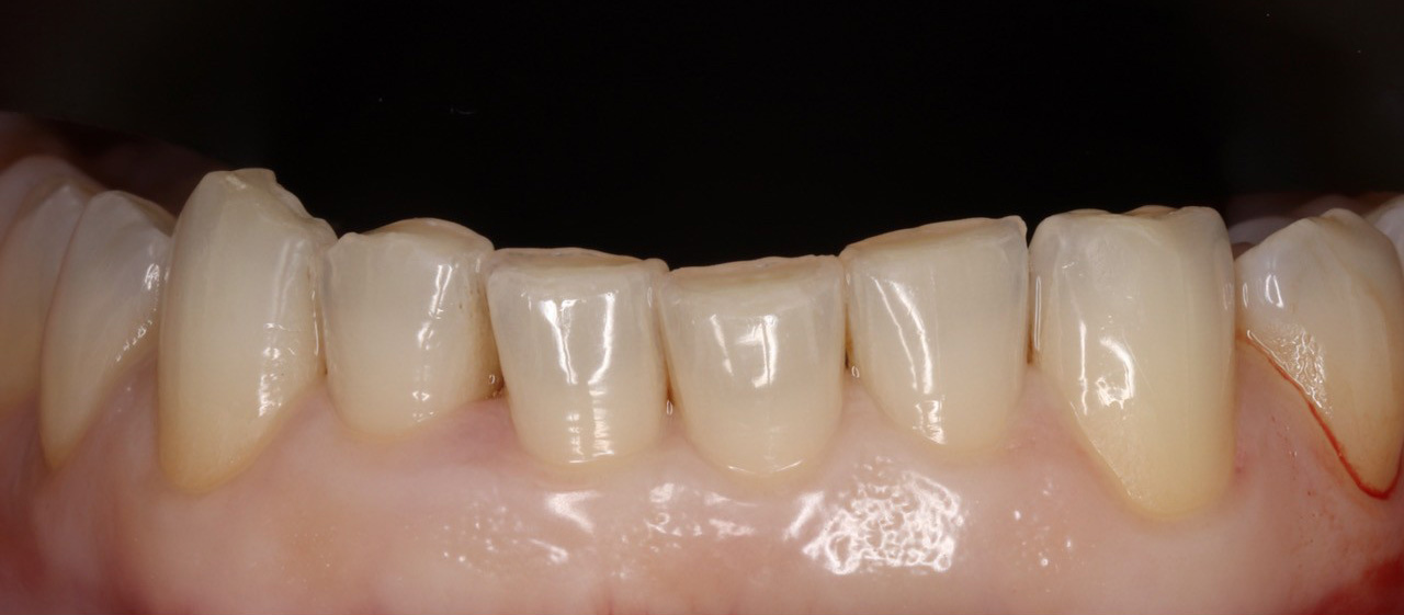
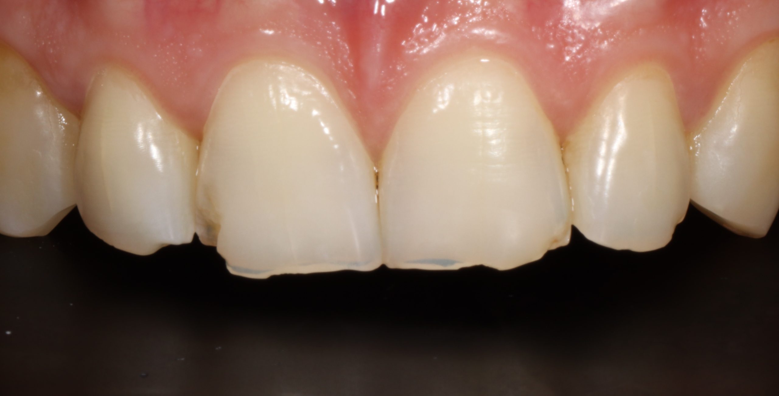
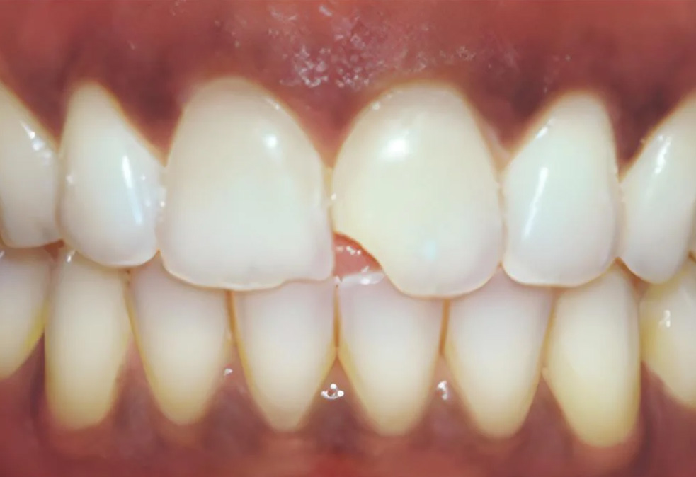
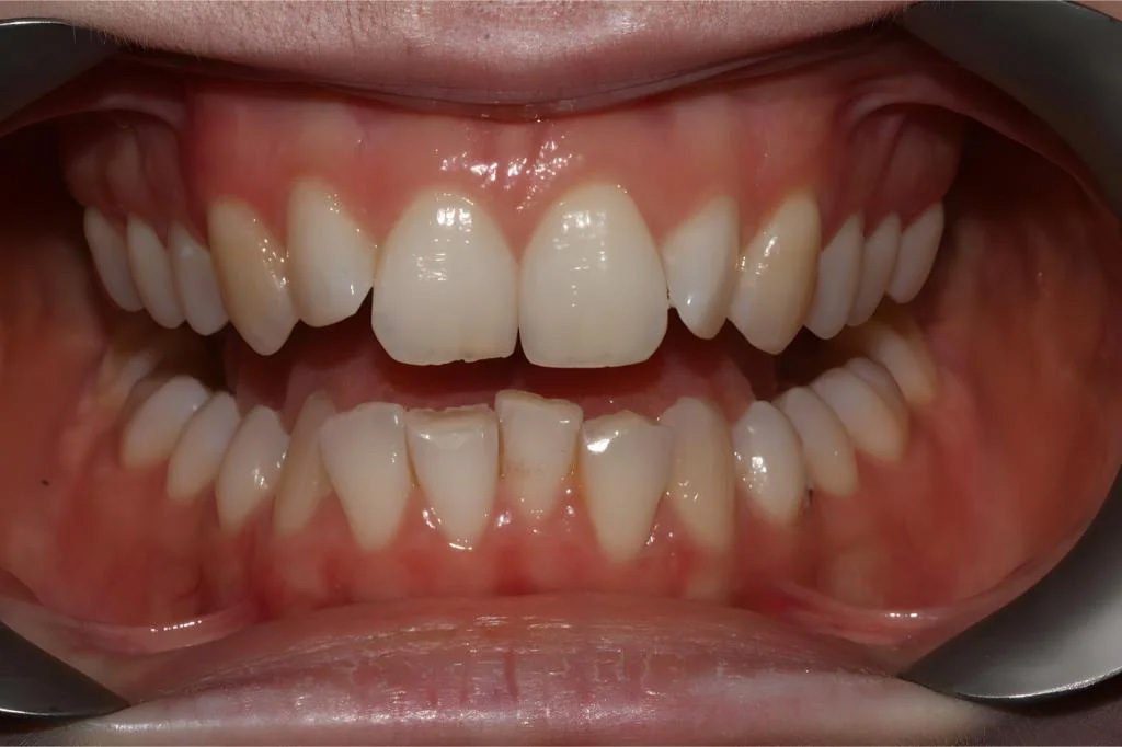
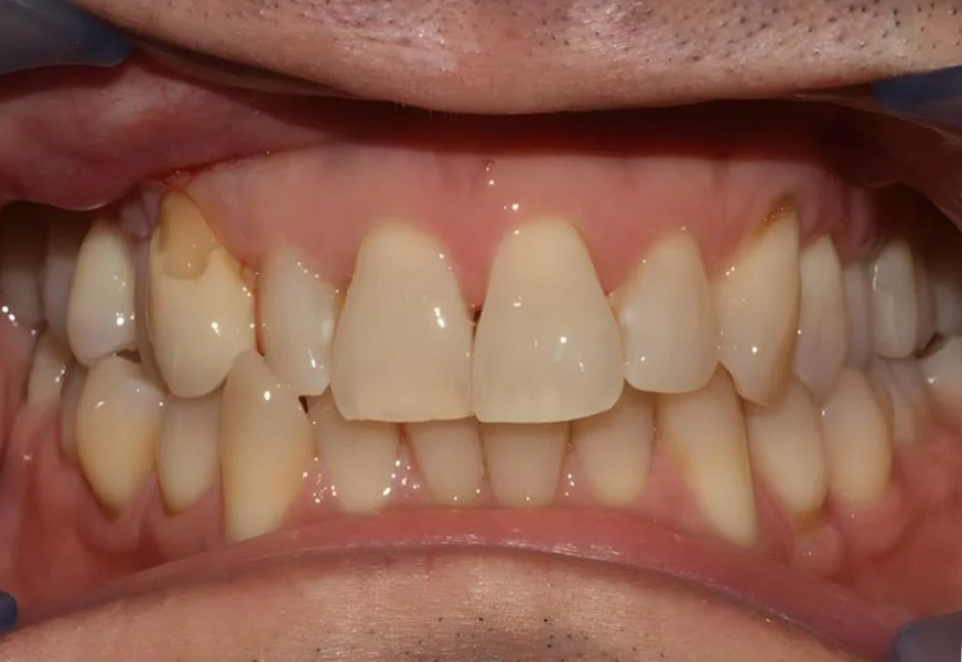
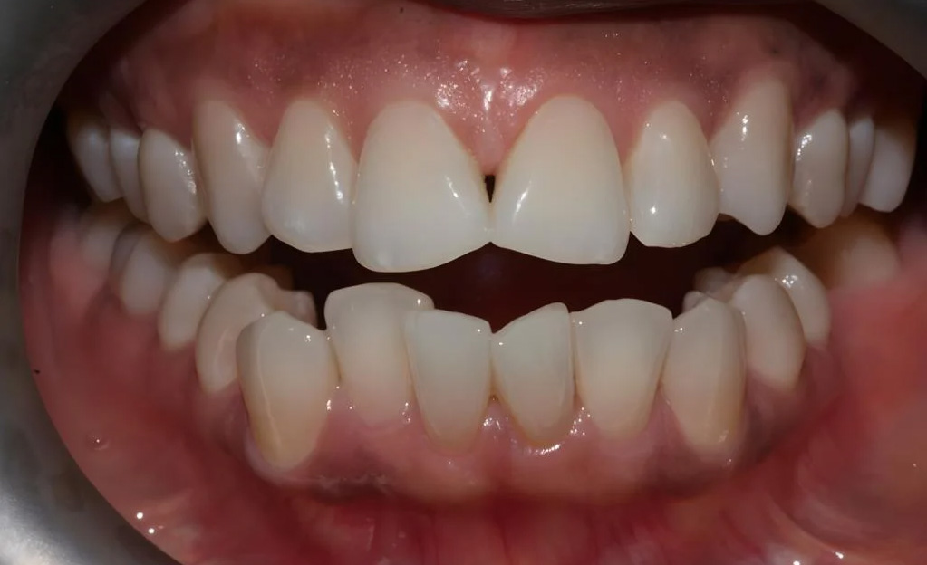
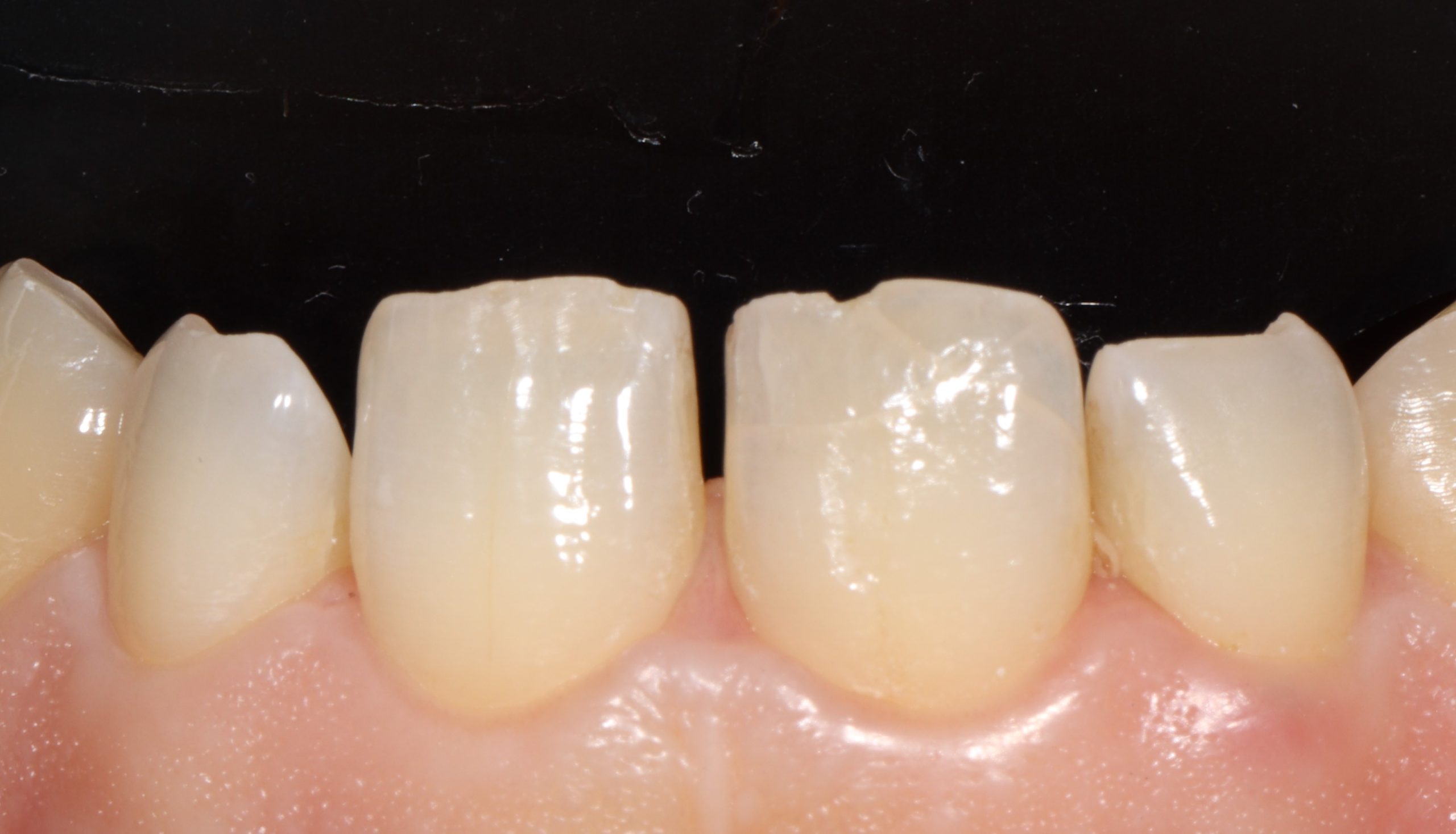
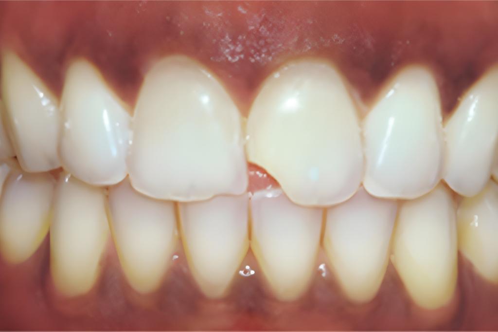
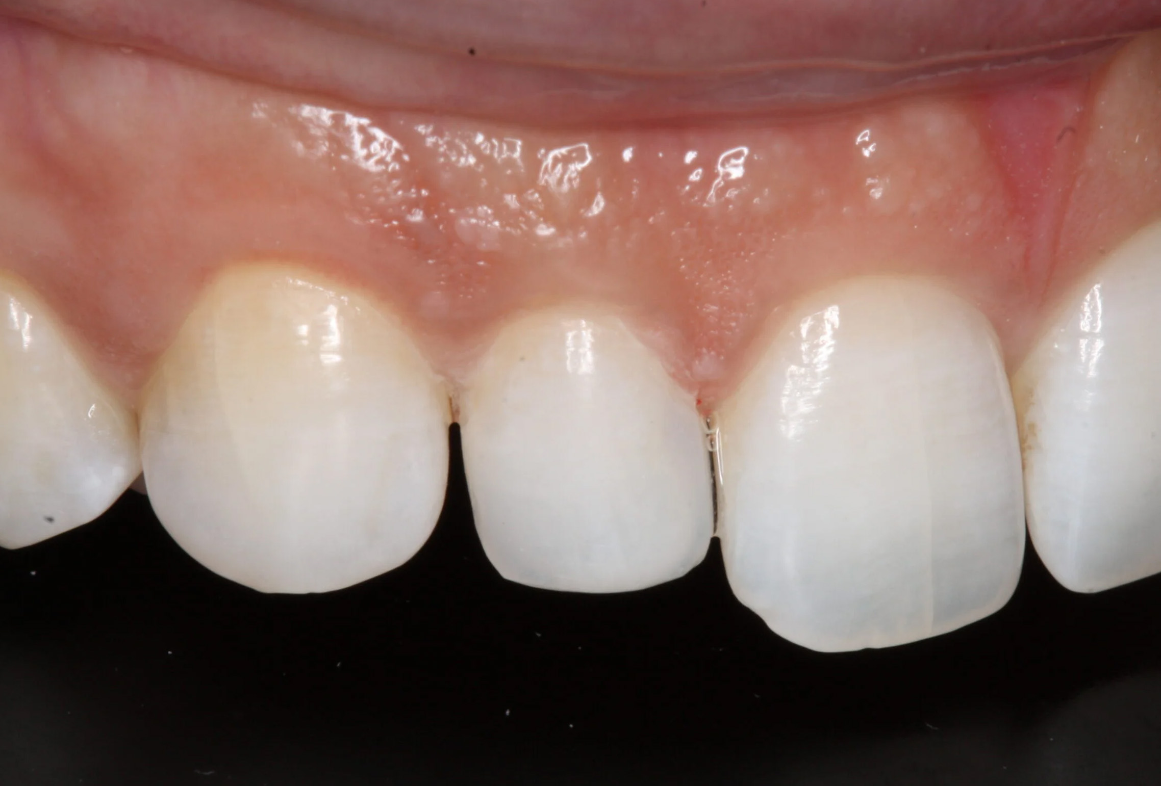
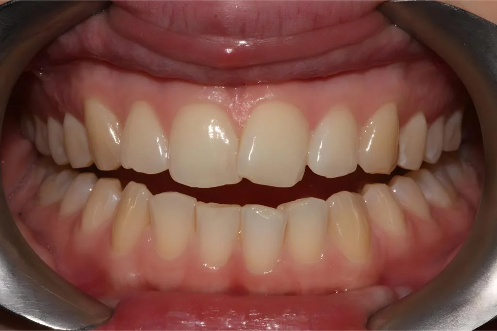
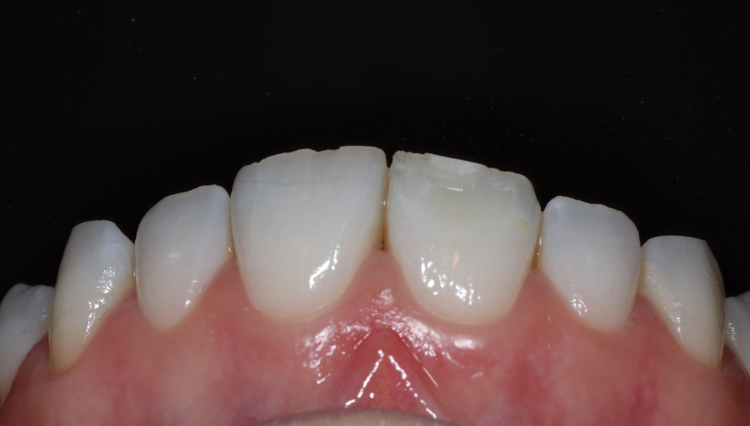
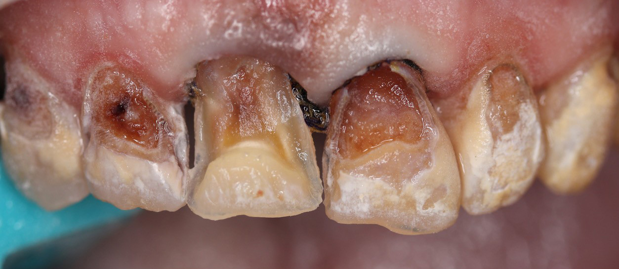
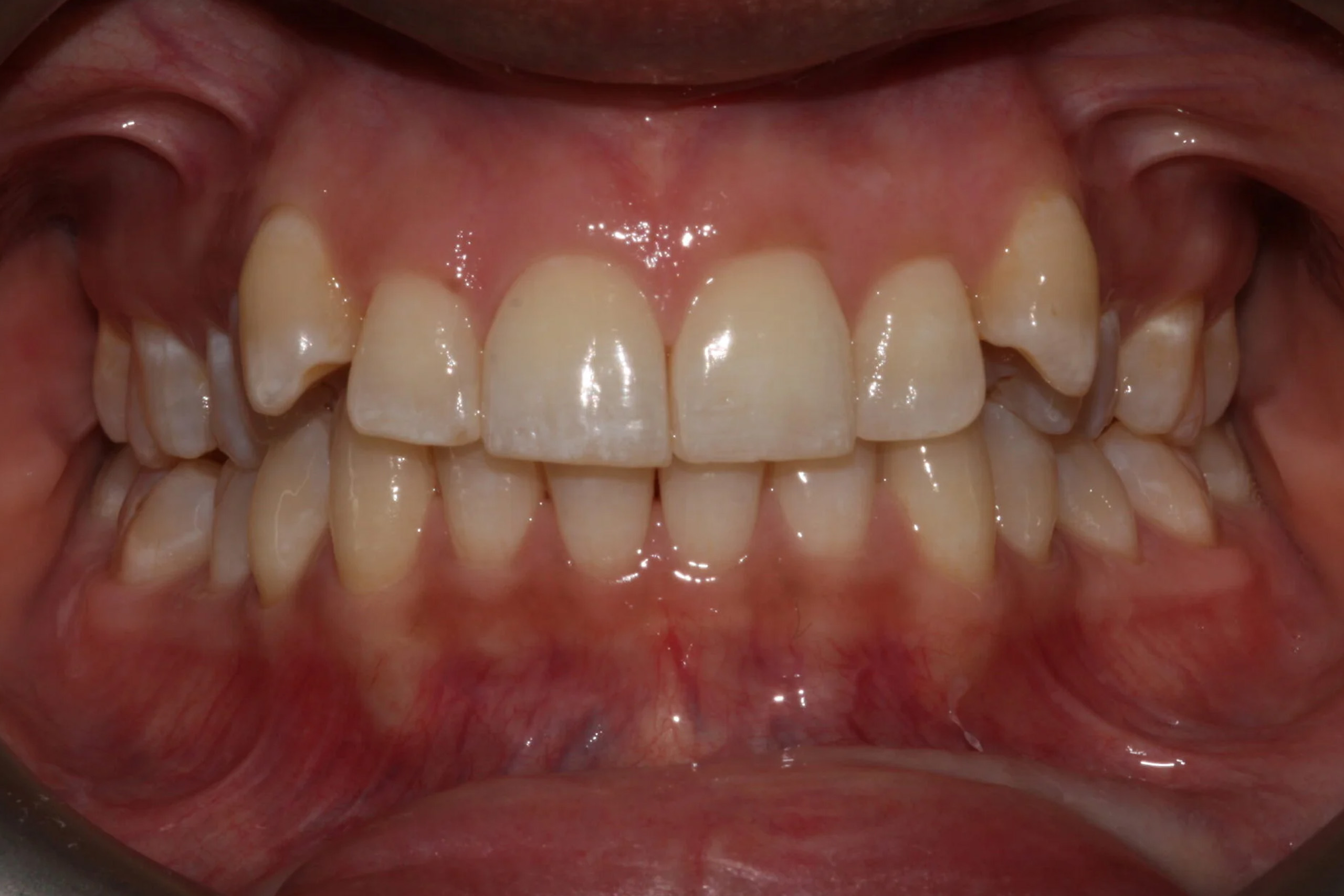
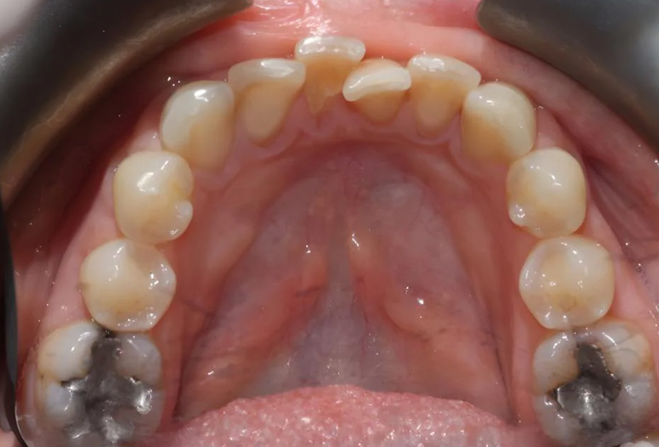
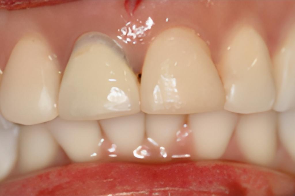
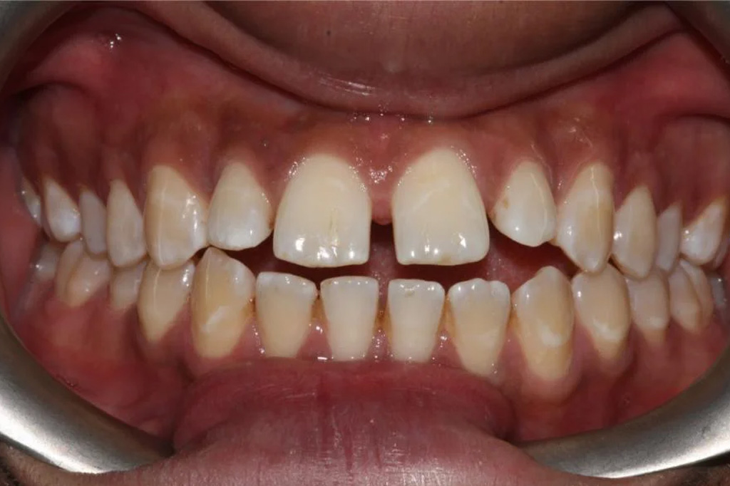
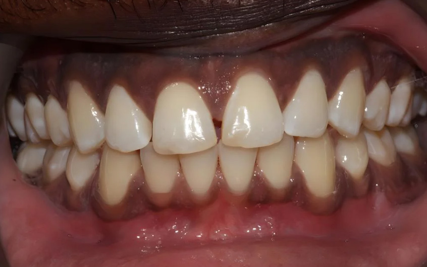
We love helping our patients achieve the best possible results, taking clinical needs and preferences into account for an unparalleled dental experience and stunning smiles. Take a look at some of our incredible real smile transformations below! Ready to discover what we can do for you? Contact us to book your appointment today!



































