Invisalign

The virtually invisible way to straighten your teeth

Are you dreaming of a straight smile? Invisalign at Covent Garden Dental Spa can give you the look you’ve always wanted with highly discreet, comfortable and effective treatment.

Invisalign prices start from just £98 a month* – book your FREE consultation today!

Four incredible Invisalign benefits

image
1

AestheticInvisalign’s clear aligners can’t be seen when in your mouth, so no-one will know you’re having treatment!

image
2

ComfortableEnjoy pain-free treatment with custom-made metal-free aligners that perfectly fit your teeth.

image
3

RemovableNo restrictions on your diet or lifestyle, as you simply take your aligners out to eat and drink whatever you want.

image
4

VersatileInvisalign is suitable for most patients, including teenagers, and can be used for a range of orthodontic issues.

semicircle image
background motif

What is Invisalign?

Invisalign is a popular and highly effective orthodontic treatment. It uses a series of clear, removable aligners to straighten your teeth and achieve your perfect smile. Rather than traditional metal braces that can take years to work and are very visible on your teeth, you’ll hardly notice your Invisalign aligners are there!

Your Invisalign aligners move your teeth little by little until your straight smile goal has been reached – in as little as three months in some cases! Take the first step on your Invisalign journey and book your consultation today.

Book appointment

private dentistry awards 2024 - practice of the year london finalist image

We were thrilled and incredibly proud that we were London Finalists for Practice of the Year at the prestigious Private Dentistry Awards 2024!

Default Alt Text

Spread the cost of your straight smile

We’re passionate about providing you a full range of payment options. Our finance packages give you the chance to spread the cost of your treatment* into monthly instalments, subject to status. Your new straight smile could be closer than you think! Please contact us for more information.

semicircle image
background motif

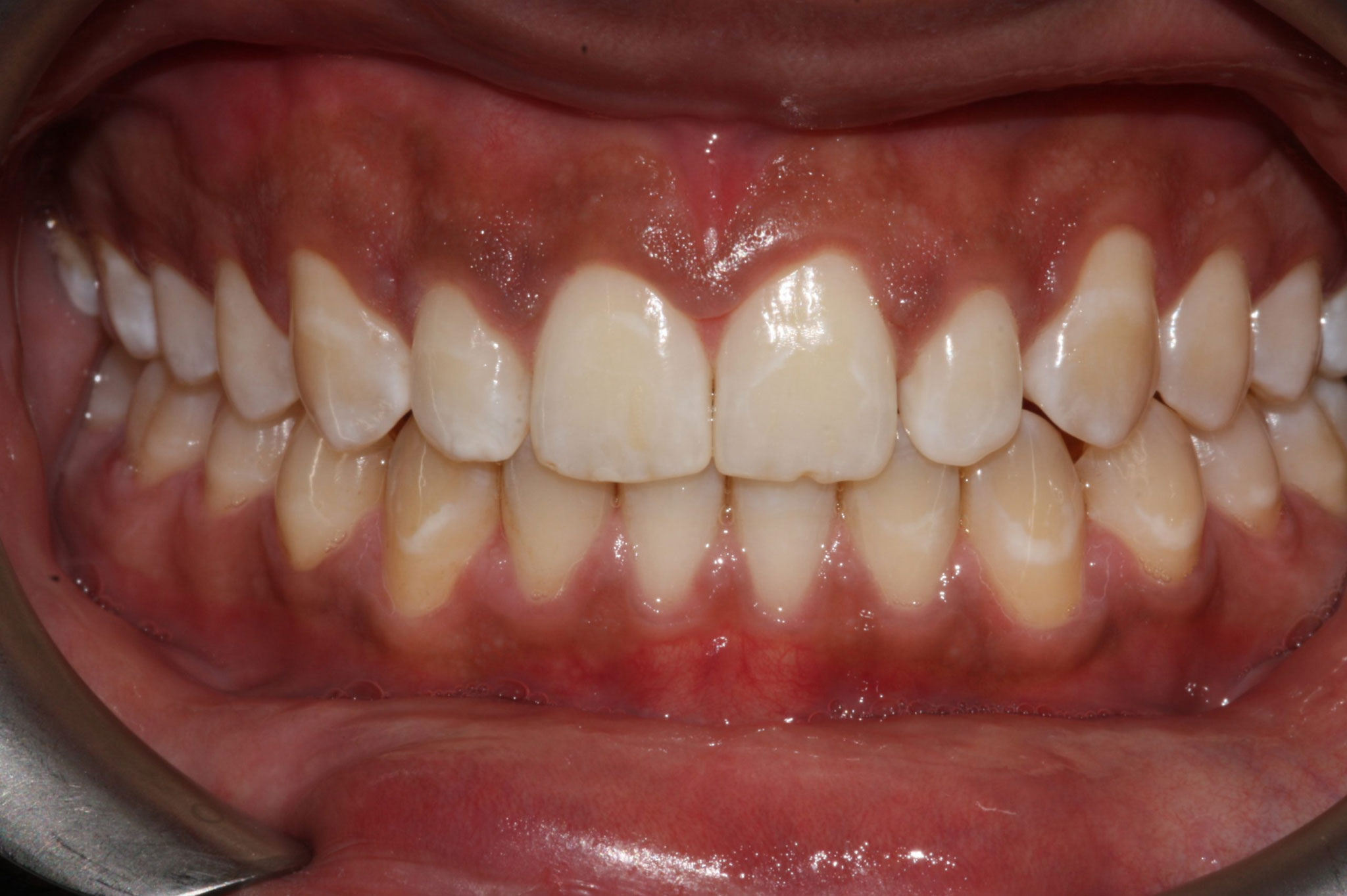
Our Invisalign results

Before After

At Covent Garden Dental Spa, we’re proud to have given hundreds of patients a reason to smile again with our exceptional Invisalign treatment. Our calm and relaxing environment is designed to ensure we deliver premium patient care with incredible results. Like what you see? Ready to transform your smile? Book your free consultation today!

private dentistry awards 2024 - practice of the year london finalist image

We were thrilled and incredibly proud that we were London Finalists for Practice of the Year at the prestigious Private Dentistry Awards 2024!

Default Alt Text

Your Invisalign treatment steps

Step 1

During your initial consultation, we ask you about your dream straight smile and tell you how Invisalign can help you achieve it! We examine your teeth and gums to ensure you are suitable for the treatment, and give you the chance to ask us any questions.

Step 2

Using our advanced digital technology, we take images and an iTero 3D scan of your teeth, which are used to create your personalised treatment plan. We can even show you exactly how your teeth will move and a preview of how your new smile will look at the end of treatment! The scan is also used to make your custom clear aligners.

Step 3

You wear each aligner in the series for around ten days, before changing to the next one. Little by little, gentle forces work to move your teeth and achieve your perfect smile. At your regular appointments, we make sure everything is on track for a stunning result.

Step 4

Once you’ve finished wearing your last aligner, your Invisalign treatment is complete, and you’ll be ready to showcase your beautiful, straight smile! We’ll ensure you’re delighted with your results and provide you with retainers to maintain your new alignment long-term. You’ll receive three sets of removable Vivera retainers, and we also offer fixed retainer options. To enhance your smile further, your Invisalign treatment includes a complimentary home teeth whitening kit, so your straight smile can truly sparkle.

Step 5

We can further enhance your smile with dental bonding. This minimally invasive technique uses a tooth-coloured resin to artfully reshape any chipped or uneven edges, creating a perfectly balanced and aesthetically pleasing result.

Why choose Covent Garden Dental Spa for Invisalign?

  • Friendly, professional and highly experienced team
  • Unrivalled patient care in our calm spa environment
  • Free home teeth whitening included in every Invisalign package
  • Range of payment options to suit your budget and lifestyle
  • We are Platinum Invisalign providers
  • We maintain regular contact with our patients throughout the treatment
  • Our price includes 18 months of monitoring after treatment is complete
  • We offer £1000 vouchers for all Invisalign treatments

Frequently asked questions

What is Invisalign, and how does it work?

Invisalign is an orthodontic treatment which uses a series of clear, removable aligners to move your teeth into straighter and more desired positions. Gone are the days of very noticeable metal braces! Each set of aligners in the treatment series is slightly different, moving your teeth gradually until your new straight smile has been achieved.

How much does Invisalign cost?

At Covent Garden Dental Spa, Invisalign treatment starts from £3000 for less complex cases and for more complex cases can be up to £4500. Every case is unique, so we give you a personalised quote based on your individual needs and ideal results after your initial consultation.

Do you offer affordable Invisalign options in Covent Garden?

Invisalign can be a big investment, and we are pleased to offer a range of payment options, including 0% interest and interest-free payments, subject to status*. We also offer a 5% discount if treatment is paid upfront, and pay-as-you-go instalments after each Invisalign appointment.

Why choose our practice for Invisalign in central London?

At Covent Garden Dental Spa, our patients are our priority. We love creating a calm and welcoming environment, where our patients feel safe and supported. Our incredible team of Invisalign dentists are all fully qualified and highly experienced, and produce stunning straight smiles. As we are situated in the heart of Covent Garden, we are able to provide exceptional standards of Invisalign to patients from all areas of London.

How long does Invisalign treatment take?

The length of Invisalign treatment varies depending on each individual case. On average, Invisalign is completed in 9-18 months, but in straightforward cases this may be faster. We will give you a more exact timeframe during your initial consultation.

How many aligners will I get?

The number of aligners you receive depends on the type of Invisalign you are having. Invisalign Express uses 7 aligners, while Invisalign Lite uses up to 14. Invisalign Moderate uses 20 aligners, and Invisalign Comprehensive uses a bespoke number of aligners to achieve the best results.

How long do I need to wear my aligners for each day?

In order for your treatment to be most effective, you will need to wear your aligners for at least 22 hours per day. Your treatment only progresses when the aligners are in your mouth, so it is important to remove them only for eating, drinking and brushing your teeth, replacing them immediately afterwards.

Are there different Invisalign options?

Comprehensive – used for more complex cases which need a longer timeframe and more clear aligners.
Lite – ideal for less complex cases, such as minor crowding or misalignment.
Express – best suited for minor cases that will be completed within three months, using a maximum of seven aligners.
Teen – ideal for younger patients.

Will Invisalign affect the way I speak?

You may find a slight change in your speech for the first few days after your aligners are first fitted, and each time you change to new aligners. You may also develop a slight lisp. This is temporary and will fade when you get used to the feel of your aligners in your mouth.

Can I have Invisalign if I have had braces before?

If you have had braces in the past and your teeth have moved, we can use Invisalign to give you back your straighter smile. Invisalign Express is often used for orthodontic relapse. This is often an affordable, predictable and fast treatment.